Spindel General and Cosmetic Dentistry, LLC

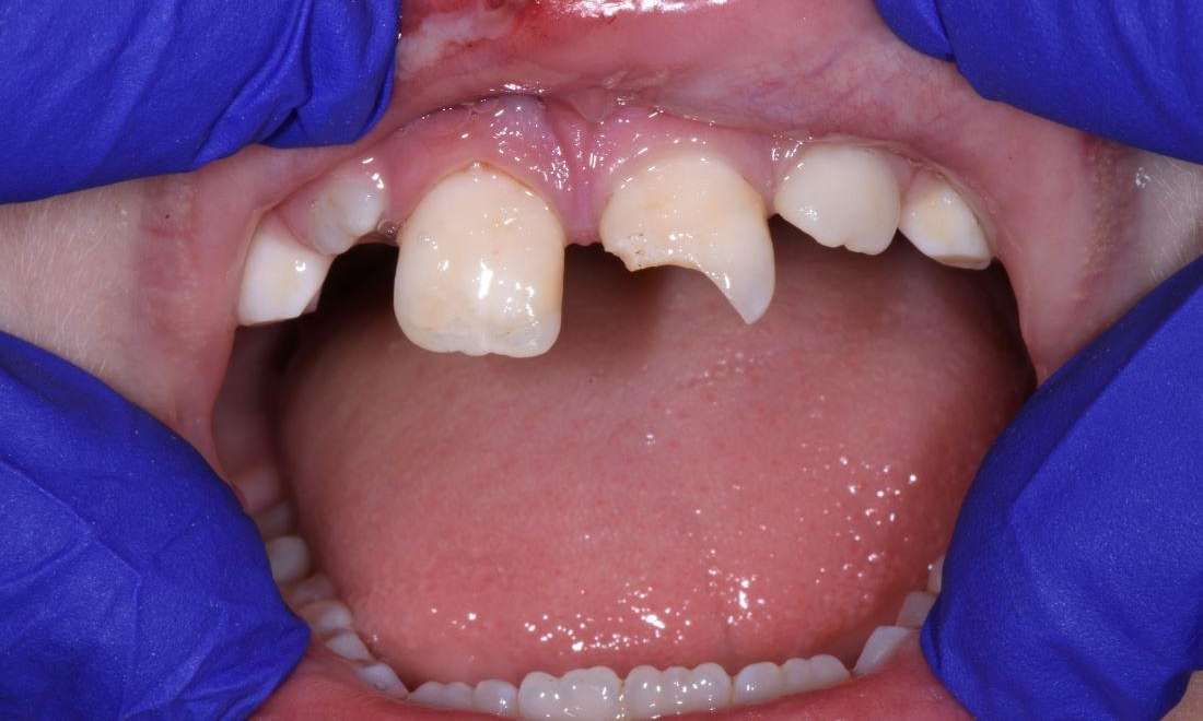
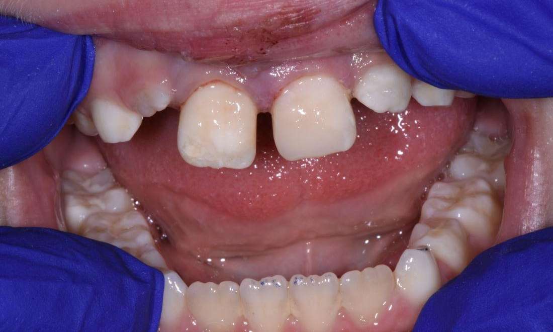
Child's Chipped Front Tooth

A 9-year-old broke their front tooth on the playground. Bonding was used to restore it to it's original form, function and shape.  

Related Services:

Cosmetic Dentistry
I Trust No One Else

Dr. Spindel has been my dentist for 24 years and I would trust no one else. Her staff is friendly and always makes me feel very comfortable. Dr. Spindel is gentle, and very kind. I have never experienced a complication or difficulty with Dr. Spindel or her staff. We are fortunate to have such a well-educated professional in Manchester.

- Sue G.

Ready to book an appointment?
If you have difficulty using our website, please email us or call us at (603) 669-9049
View the ADA Accessibility Statement